近日,联影医疗自主研发的国产首款光子计数能谱CT uCT Ultima,在四川大学华西厦门医院(下称“华西厦门医院”)完成装机并正式投入临床使用。
这标志着uCT Ultima成为了我国第一台正式商业化并投入临床使用的国产光子计数能谱CT,实现了国产超高端CT从研发到临床应用的历史性跨越,更打破了海外企业在该领域的长期垄断,为我国高端医疗装备自主可控写下关键一笔。

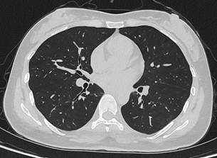
国产首款光子计数能谱
光子计数能谱CT一直是备受行业关注的下一代CT技术的革命方向,此前中国市场仅有一家外资企业设备进入临床使用。uCT Ultima是“十四五” 国家重点研发计划重点专项取得的重大创新成果,于2025年8月25日获国家药品监督管理局批准上市。该重点专项旨在全面推动实现光子计数探测器和关键部件国产化,填补我国在该领域的技术空白。
目前,华西厦门医院已基于该设备完成第一批患者扫描。“光子计数能谱CT的临床落地,是我国创新能力的重要体现,真正实现了对国外 ‘卡脖子’技术的突破。光子计数能谱CT实现了辐射剂量大幅降低,让患者CT扫描更安全。我们在临床案例中看到,设备不仅低剂量且高清,肺结节依然清晰可辨,临床价值十分突出。设备将在华西厦门医院的全链条、全生命周期的健康管理服务中发挥重要作用。” 华西厦门医院党委书记廖志林说。

联影uCT Ultima扫描的0.2mm肺部超高清成像,扫描剂量低至0.1mSv
这背后,联影医疗研发团队进行了大量的技术攻坚。联影医疗CT事业部总裁杜岩峰介绍,“相比于传统CT,联影光子计数能谱CT在实现超高分辨率成像时,探测器的像素面积减小到原来的1/9,可以呈现更细微病变结构。同时,通过创新的校正算法和重建算法,解决了像素面积减小导致的信号强度降低的问题,抑制噪声并保证了图像质量。针对光子计数能谱CT大数据量处理这一痛点,联影医疗也进行了全面的技术创新,已实现全准直覆盖的超高分辨率与能谱同时成像,在心脏等需要大范围覆盖的检查中可做更深一步的探索。”
“随着uCT Ultima在华西厦门医院健康管理中心的落地与应用,厦门及闽南地区周边患者有望在本地享受到更高精度、更高效率的影像检查服务。”华西厦门医院院长龚启勇介绍,当前CT检查在体检中不可或缺,而肺结节等疾病的患者往往需要多次进行CT扫描,由此产生的累积的辐射,通常会引起患者的顾虑。光子计数能谱CT辐射剂量极低,能让居民更安心地进行CT健康体检。
“华西厦门医院的重要发展目标之一,是力争成为国家区域医疗中心中的标杆单位。国产首台光子计数能谱CT落地我院,既为医院特色优势技术提供了关键支撑,也将切实减轻患者跨区域就医负担,推动优质医疗资源惠及区域群众。” 龚启勇表示,未来期待与相关方进一步深化合作,用好先进设备与技术,为当地百姓的健康管理与疾病早筛早诊提供更有力的技术支撑。
此前,由联影医疗作为企业牵头,上海交通大学医学院附属瑞金医院作为医院牵头的“光子计数能谱CT推广应用项目”已正式入选国家工业和信息化部、国家卫生健康委员会、国家药品监督管理局三部委联合公示的“2025年高端医疗装备推广应用项目”名单,旨在推进国产光子计数CT的临床应用研究与推广,促进光子计数CT成像系统的应用创新和技术创新,实现“应用示范-临床评价-迭代升级-辐射推广”闭环。
联影uCT Ultima的落地,是我国医疗装备产业升级的缩影,更是健康中国战略落地的生动实践。后续,器械之家也将持续跟踪报道这台设备的持续应用与推广,期待它为亿万群众的健康福祉筑牢屏障,为中国医疗创新的高质量发展注入动能。


VIP复盘网